📍Nairobi, Kenya

Hydrocephalus Defined
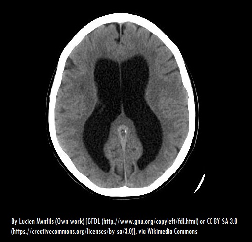
Hydrocephalus also known as “water on the brain” is the build-up of cerebrospinal fluid in the brain cavity. Cerebrospinal fluid normally flows through the cavities and bathes the brain and the spinal column but the pressure caused by too much fluid can damage the brain tissues and cause impairments in brain function (mayoclinic.org).
This condition can happen in any age but is most frequent in infants and adults who are above the age of 60 years. Cases where the condition is present at birth is referred to as congenital hydrocephalus which might be caused by genetic problems or problems with fetal development. On the other hand cases where the condition happens after birth is referred to as acquired hydrocephalus and can be caused by head injuries, tumours, infections, strokes and bleeding in the brain.
Signs and Symptoms
- The most common sign of hydrocephalus is a rapid increase in the head circumference (this is why during most “well baby” check-ups the nurse will measure the head circumference of your baby”).
Other signs and symptoms include (but is not limited to):
- Bulging soft spot (fontanel) on the top of the head;
- Delayed milestones
- Nausea and vomiting
- Being lethargic
- drowsiness
- Irritability
- Poor feeding
- Seizures
- Downward deviation of the eyes (sun-setting of the eyes)
- Deficits in muscle tone and strength
- Poor responsiveness to touch
- Blurred or double vision
Should you notice any of these signs and symptoms kindly contact your doctor and/or visit your nearest hospital.
Treatment
Hydrocephalus is commonly treated by using a shunt which is a long flexible tube with a valve whose one end is placed in one of the brain’s ventricles. The shunt helps act as a drainage system which re-directs the cerebrospinal fluid to a part of the body which can easily absorb it such as the abdomen.
Another form of treatment is Endoscopic of the Third Ventriculostomy which involves the surgical creation of a hole at the bottom or between the brain’s ventricle creating a passage for cerebrospinal fluid to flow out of the brain.
Each treatment method comes with its own set of risks and to fully understand each procedure we always advise parents to have an in depth discussion with their doctor before making a decision.



